Response of the Musculoskeletal System to Extreme Training and Injury
Response of the musculoskeletal system to extreme training and injury
While much of the work in our lab focuses on the adaptation of musculoskeletal tissues to prevent load-related injuries from ever occurring – failure of musculoskeletal tissues does occur; be it a breaking bone or torn ligament. Spanning a couple different research threads we study the pathological changes that occur in the musculoskeletal system prior to and following failure of musculoskeletal tissues.
Race horse fracture prediction: In one set of studies, in collaboration with clinicians in the Purdue Veterinary Teaching Hospital (Dr. Tim Lescun) and in partnership with the Indiana Horse Race Association, we are studying the physiochemical and material property changes that occur in the bones of thoroughbred racehorses leading to catastrophic skeletal fracture. To do this we use a number of diagnostic imaging and pre-clinical biomechanical tools to examine the limb bones of horses that experienced a catastrophic skeletal fracture or some other non-orthopaedic injury. Our ultimate goal in this work is to associate a small group of very specific measures to fracture likelihood, as a tool for predicting fracture risk and reducing the occurrence of skeletal fracture among horses.
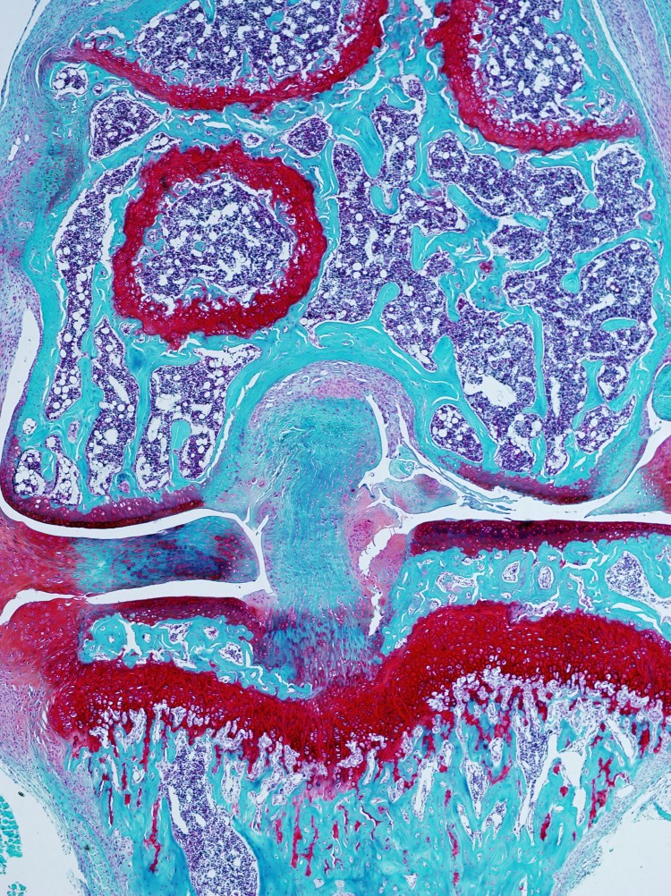
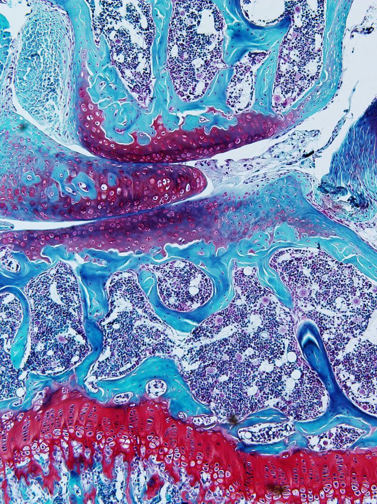
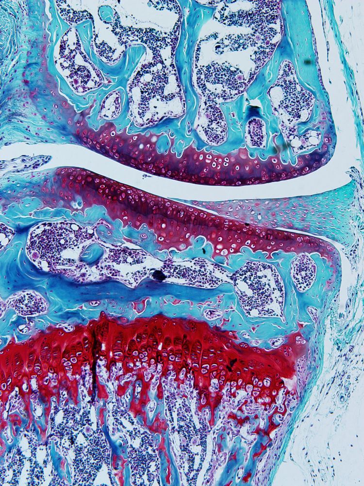
Mechanisms for osteoarthritis progression: Osteoarthritis (OA) is a major health concern in the United States with half of all adults developing symptoms of knee OA. There are multiple causes for OA, including acute joint injury and chronic overuse of the joint. A number of non-invasive pre-clinical models replicate joint injury-induced OA, including anterior cruciate ligament (ACL) injury. Axial loading of the tibia in mice also induces clinically-relevant signs of OA (osteophyte formation and articular cartilage degradation) and models OA induced by joint overuse. We employ both of these models to understand the tissue and morphological changes that occur in the knee joint following acute and chronic joint injury. In this work, we partner with other labs to explore development of anti-inflammatory therapeutics (Dr. Marxa Figueiredo) and to understand multi-system effects on cartilage and soft tissue pathology (Dr. Dianne Little).
Contact
Purdue Musculoskeletal Biology and Mechanics Lab
Purdue University College of Veterinary Medicine
625 Harrison Street
West Lafayette, IN 47907
Phone: 765.494.0898
Fax: 765.494.0781
Email: rmain@purdue.edu



